Manhattan's Prosthodontist for Dental Implants and Full Mouth Restoration
A PROPERLY CRAFTED SMILE CAN IMPROVE EVERY ASPECT OF A PERSON’S LIFE
about us
Manhattan Aesthetic Dentistry
Many patients arrive at our office after being dismissed elsewhere. Whether you’ve been told your bone loss is too severe for implants, that you need a sinus lift before moving forward, or simply that your case is “too complex,” we want you to know there are options. Our practice focuses on the patients other offices turn away, combining advanced prosthodontic care with a collaborative approach to even the most challenging cases.
Dr. Nargiz Schmidt is a distinguished prosthodontist with over 20 years of experience in aesthetic dentistry and full mouth reconstruction. Her practice is built on direct communication, patient education, and a commitment to finding real solutions for real problems. For patients who have spent years postponing treatment due to fear, uncertainty, or cost, Dr. Schmidt provides both a clear path forward and the support to walk it.
merits
Driven by a commitment to solving the cases that matter most, Dr. Schmidt pursued advanced training in prosthodontics and built her reputation on complex reconstructive outcomes. Her work with full mouth reconstruction, dental implants, and All-on-X procedures has helped hundreds of patients who had been told their options were limited.
Dr. Schmidt founded multiple dental practices and now leads Manhattan Aesthetic Dentistry, a multispecialty practice with locations in Midtown East and the Upper West Side. She collaborates with a highly qualified oral surgeon to address cases involving significant bone loss, including patients who have been advised to pursue a sinus lift prior to implant placement. This coordination allows patients to receive comprehensive care without being passed between providers. Beyond her clinical work, Dr. Schmidt is a published author, international lecturer, and keynote speaker recognized in the field of aesthetic dentistry.
art
Beyond her professional pursuits, Dr. Schmidt’s artistic talents as a classically trained pianist and painter reflect her multifaceted creativity and ability to connect with patients on a profound level. She is a devoted opera and art lover who actively supports the arts community.
As a sponsor of the Metropolitan Opera and the Metropolitan Museum of Art, she demonstrates her commitment to fostering cultural enrichment and artistic expression.
This passion for the arts enriches her perspective and underscores her ability to connect with patients on a profound level, creating a welcoming and holistic approach to dental care that transcends conventional boundaries.
Our Mission
Dr. Schmidt’s mission is to provide exceptional dental care using innovative technologies and minimally invasive methods whenever possible. She creates a friendly and supportive atmosphere, prioritizing your individual needs and desires to bring you a lasting smile.
Fixing Real Problems
Perhaps you’ve been told you need a sinus lift before getting dental implants, or maybe you’ve lost upper teeth and assumed your options were limited. Many patients come to us after being told their case is too complex or after visiting multiple specialists without clear answers. Dr. Schmidt works directly with a highly qualified oral surgeon to provide solutions even when significant bone loss is present.
Your dental health affects your whole body, with established links to heart disease and diabetes. This is why more physicians now require patients to resolve active dental infections before approving other surgical procedures. If your doctor has asked you to address dental issues before an upcoming surgery, we understand the urgency and can evaluate your options promptly.
process
The goal is not just to enhance your smile but to transform your overall appearance and boost your confidence
The goal is not just to enhance your smile but to resolve the dental problems that have been holding you back and restore your confidence in a lasting way.
As the consultation progresses, you will be presented with treatment options tailored to your specific needs and health history. Each procedure will be explained clearly, so you understand what to expect, what outcomes are realistic, and what steps come next.
A Calm and Supportive Environment
Most of our patients are over 40 and have delayed dental treatment at other offices due to concerns about pain, cost, or complexity. We take those concerns seriously. Our team creates a calm and trusting environment from the moment you walk in, designed to put even the most hesitant patients at ease.
For patients with dental anxiety or phobia, we offer sedation options including oral medication, IV sedation, and general anesthesia. Whatever your level of apprehension, we can work with you to make treatment manageable. No one should delay necessary dental care because they are afraid.
Your First Consultation
During your consultation, Dr. Schmidt and her team will walk you through a comprehensive evaluation of your dental health and aesthetic concerns. Using advanced imaging and diagnostic tools, they will assess your bone structure, existing restorations, and overall oral health to identify the most appropriate course of treatment.
Whether your priority is resolving a medically urgent issue, replacing missing teeth, or improving the appearance of your smile, the team will develop a plan that reflects your individual goals. Every recommendation is explained in detail so you can make informed decisions about your care.
Making Treatment Accessible
We work with multiple financing partners, including Proceed Finance and CareCredit, to help make care financially accessible. Flexible payment plans are available, and our team will walk you through your options so you can move forward with confidence.
We accept all major dental insurance plans and handle direct billing, pre-authorization, and benefit coordination on your behalf. Our team will provide a detailed treatment estimate before any procedure begins, so there are no surprises.
MAXIMIZING YOUR INSURANCE BENEFITS
We accept all major dental insurance plans and work directly with your provider to maximize your benefits. Our knowledgeable team handles:
• Direct insurance billing and verification
• Pre-authorization assistance
• Benefit explanation and planning
• Out-of-network claim submission
We’ll provide a detailed treatment estimate and help you understand your coverage before beginning any procedure, so there are no surprises.
Our services
All-on-X restorations on dental implants offer significant advantages for patients with serious dental issues and edentulous conditions.
This innovative treatment concept allows for the replacement of an entire arch of teeth using just four to six strategically placed dental implants. By maximizing the available bone support and angulating the implants for optimal stability, All-on-4 restorations provide a secure and efficient solution for patients with compromised dental health.
The streamlined treatment process reduces the need for additional surgical procedures and accelerates the restoration timeline, allowing patients to enjoy a fully functional and aesthetically pleasing smile in a shorter period of time. Additionally, the fixed nature of All-on-4 restorations eliminates the hassle and discomfort of removable dentures, providing a permanent and comfortable solution.
Dr. Schmidt collaborates with a team of highly skilled surgeons who specialize in implant placement, ensuring that even the most challenging cases can be successfully addressed with All-on-4 restorations.
By working closely with these experts, Dr. Schmidt can offer patients with serious dental issues and edentulous conditions a comprehensive and tailored treatment plan that meets their individual needs. The combination of Dr. Schmidt’s expertise in prosthodontics and her team of experienced surgeons ensures that patients receive the highest standard of care and precision throughout the implant placement process.
This collaborative approach not only enhances the success rate of All-on-4 restorations but also provides patients with confidence and peace of mind knowing that they are in capable hands.
non invasive and minimally invasive porcelain veneers
Dr. Schmidt’s reputation as a world-renowned specialist in non-invasive and minimally invasive porcelain veneers precedes her, with a pioneering approach that has revolutionized the field of cosmetic dentistry.
Her expertise has been instrumental in transforming hundreds of smiles, with over 15,000 porcelain veneers placed to date, all without compromising sensitive tooth structure. Dr. Schmidt’s philosophy is rooted in the belief that preserving the maximum amount of healthy tooth structure is paramount, ensuring that her patients’ experience is not only positive but also comfortable.
One of the hallmarks of Dr. Schmidt’s approach to porcelain veneers is the emphasis on non-invasiveness, which minimizes the need for extensive tooth preparation.
This innovative technique allows for the enhancement of smiles without the removal of significant tooth structure, preserving the natural integrity of the teeth. Patients can expect a seamless and painless process, with some cases not even requiring the administration of local anesthetic due to the gentle and minimally invasive nature of the procedure.
The result is a transformative experience that combines artistry and science to create stunning and natural-looking smiles.
Dr. Schmidt’s meticulous attention to detail and commitment to excellence ensure that each porcelain veneer is custom-crafted to enhance the unique features of the individual’s smile. Patients can confidently embrace their new smile knowing that they have received the highest standard of care and expertise from a leader in the field of non-invasive porcelain veneers.
no more dentures of any kind – all on x procedure
All-on-X restorations on dental implants offer significant advantages for patients with serious dental issues and edentulous conditions.
This innovative treatment concept allows for the replacement of an entire arch of teeth using just four to six strategically placed dental implants. By maximizing the available bone support and angulating the implants for optimal stability, All-on-4 restorations provide a secure and efficient solution for patients with compromised dental health.
The streamlined treatment process reduces the need for additional surgical procedures and accelerates the restoration timeline, allowing patients to enjoy a fully functional and aesthetically pleasing smile in a shorter period of time. Additionally, the fixed nature of All-on-4 restorations eliminates the hassle and discomfort of removable dentures, providing a permanent and comfortable solution.
Dr. Schmidt collaborates with a team of highly skilled surgeons who specialize in implant placement, ensuring that even the most challenging cases can be successfully addressed with All-on-4 restorations.
By working closely with these experts, Dr. Schmidt can offer patients with serious dental issues and edentulous conditions a comprehensive and tailored treatment plan that meets their individual needs. The combination of Dr. Schmidt’s expertise in prosthodontics and her team of experienced surgeons ensures that patients receive the highest standard of care and precision throughout the implant placement process.
This collaborative approach not only enhances the success rate of All-on-4 restorations but also provides patients with confidence and peace of mind knowing that they are in capable hands.
dental implants and implant restorations
Dental implants are a revolutionary solution for replacing missing teeth, providing a durable and natural-looking alternative to traditional dentures or bridges.
These titanium posts are surgically placed into the jawbone, where they fuse with the bone to create a strong foundation for artificial teeth.
Once the implants have integrated with the jawbone, custom-made implant restorations, such as crowns, bridges, or dentures, are attached to complete the restoration.
Implant restorations are meticulously crafted to match the shape, size, and color of the natural teeth, resulting in a seamless and long-lasting solution that restores both function and aesthetics to the smile.
dental anxiety and phobia
At Dr. Schmidt’s dental office, a compassionate and empathetic approach is taken to cater to patients with dental anxiety and phobia. With a longstanding commitment to helping individuals navigate their fears, the office environment is designed to be a safe and welcoming space where patients can feel understood and supported. There is no judgment here, only a genuine desire to alleviate anxiety and provide a sense of comfort and control.
Dr. Schmidt’s personalized approach to addressing dental anxiety involves understanding the root causes of fear and tailoring her methods to each individual’s needs. By fostering open communication and a trusting relationship, she empowers patients to voice their concerns and preferences, creating a sense of partnership in their dental care. Through gentle and patient-centered techniques, Dr. Schmidt ensures that every aspect of the dental experience is tailored to promote a sense of calm and relaxation, allowing patients to receive the care they need without the burden of anxiety.
In certain cases, Dr. Schmidt’s dental office offers the option of IV sedation for patients undergoing dental procedures. This advanced form of sedation provides a deeper level of relaxation and comfort, ensuring a stress-free and worry-free experience for individuals with heightened anxiety or phobia. Under the care of a skilled anesthesia provider, patients can rest assured that they will be closely monitored throughout the procedure, allowing them to receive the necessary dental care in a calm and comfortable state.
IV sedation not only helps alleviate anxiety and fear but also enables Dr. Schmidt to perform complex dental treatments with precision and efficiency. By creating a relaxed and tranquil environment, patients can undergo procedures that may have once seemed daunting or overwhelming. The use of IV sedation at Dr. Schmidt’s office exemplifies her dedication to providing comprehensive and compassionate care, ensuring that every patient’s needs and comfort are prioritized throughout their dental journey.
smile makeovers
Full mouth reconstruction may involve a combination of restorative procedures, such as crowns, bridges, dental implants, and veneers, to address various dental issues and achieve optimal oral function and beauty.
As a prosthodontist, Dr. Schmidt excels in the art and science of full mouth reconstruction, utilizing advanced techniques and state-of-the-art materials to deliver exceptional results.
Through meticulous planning and attention to detail, she restores harmony and balance to the entire mouth, creating a smile that is both functional and aesthetically pleasing.
Patients can trust in Dr. Schmidt’s expertise and dedication to excellence, knowing that their full mouth reconstruction is in the hands of a skilled professional committed to enhancing their overall oral health and quality of life.
Convenient Location
Located near Grand Central Terminal in Midtown East, our office is easily reachable from throughout Manhattan, Westchester, and Long Island. A second location is available on the Upper West Side. Both offices are open Monday through Friday, 9:00 AM to 6:00 PM.
FINANCING THAT FITS YOUR BUDGET
Manhattan Aesthetic Dentistry partners with leading healthcare financing providers to offer flexible payment solutions tailored to your needs. Choose from:
• Interest-free payment plans
• Low monthly installments assistance
• Same-day approval options
• No upfront costs for qualifying patients
Our team will help you navigate your financing options and maximize your insurance benefits to ensure your treatment remains affordable.
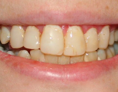
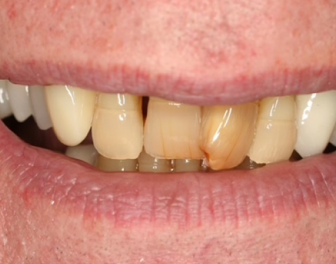
smile gallery










it’s as important to me to focus on function as it is to craft beautiful smiles
press

Everything to Know About Dental Phobia, According to a Top Cosmetic Dentist
Visiting a dentist who is seasoned in relaxation techniques can help

Gentle Dentistry: The New Way of Getting Dental Work
A deep-dive into the world of gentle dentistry
